Hollywood Smile: My Veneers Process Explained
- P G
- Jun 30, 2024
- 4 min read
Updated: Jan 14, 2025
Why should you get Ceramic Veneers?
Ceramic veneers are designed to be more custom-fit for your specific needs. They require minimal teeth preparation. They can reinforce the structural integrity of a broken or weakened tooth and there are more colours to choose from. I, for example, let my dentist choose the colour for me.
How long does the process last?
This can vary and it is truly individual. The process of getting my Hollywood smile lasted for about 6 months. However, I also had a surgery to remove my gummy smile. The recovery took a bit more time for me before the dentist put my ceramic veneers. In total, I had 7 appointments.
My 7 appointments explained:
1. Examination and Consultation
Alongside the clinical examination, 2D and 3D XRay examination, the dentist took a lot of time to hear my wishes and expectations. He took all I desired into consideration in order to make a personalised therapy for me. Everything is individual and personal which I really loved and which made me feel secure in my choice of the dentist.
2. Aesthetic Mock-Up - Preparation
This comes at an additional cost and you can actually skip this process, but since ceramic veneers are something I will have permanently on my face I wanted to see how it might look like before the real proceedure. It is done in 2D - virtually, so you can see it on pictures. And afterwards, it is done in 3D as well, where they attach dental composites on your own teeth. It is made out of material that mimics the colour and shape of your future teeth so you can better visualise how your veneers might look like.
For this procedure the dentist will take some photos of you, a video and he will also take a 3D scan of your oral cavity. They are doing it with a specialised software and a 3D printer.
Everything is done in between 3-5 days approximately.
3. Aesthetic Mock-Up in 2D and 3D

I received pictures and virtual mock-up on my email, and it looked like this:
At my 3rd appointment the dentist was putting a 3D printed model of dental composites on my natural teet. There was no preparation needed and my teeth were intact. The whole process of trying these mock-up teeth was about 1h long. It is painless and I could take pictures and videos so I can visualise better how they might look like.
A note: This is just a mock up, not a real thing!!! It might feel a bit chunky in your mouth and you might not be fully satisfied with the shape, but that is the point - to visualise and see what you like and don't like. My dentist took all my desires and concernes into account and reassured me about my choices. He was a real champ because I'm usually sceptical and I have lots of questions.
4. Dental Cleaning
With this procedure the dentist was removing the plaque and tartar from the teeth in order to clean them properly and prepare them for the upcoming proceedures. The process was about 45 min long.
5. Laser Gum Surgery
I was unhappy with the size and proportion of my gums. Therefore, the purpose of this surgery was to get rid of my gummy smile, so my smile looks aesthetically even and in harmony.
Crown lenghtening or Gum Lift is a proceedure where my dentist used a personalised cut-out template, ultrasound machines and a laser to cut out some part of my gums and to thin out a part of my dental bone. Of course, you are having the anaesthesia here. Depending on how many teeth this is performed, this procedure can last in between 45 min up to an 1h and 30 min. I had surgery on my front 8 teeth.
The recovery lasts for about 3-5 days.
The stitches are removed after 2 weeks.
The complete recovery of your gums lasts about 6-8 weeks. Everything depends on the individual.
Laser Gum Surgery, before and after pictures:
6. Temporary Veneers
Temporary veneers are made from the same material like the previously explained Mock-Up.
The process lasts for about 45 min to 1h.
The purpose of it was for me to live with them for a couple of weeks so I could eat, talk, smile and get used to my new smile. In this period I could also see if I want some changes made before putting the real ceramic veneers. The only change I wanted to make here was to shorten my two front teeth for about 1mm.
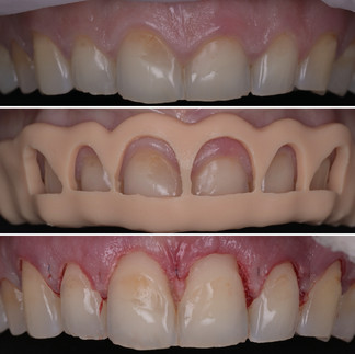
7. Putting on Veneers
Usually it takes about 10-14 days to have your custom ceramic veneers made.
My veneers are fully ceramic and the colour matches the whites of my eyes.
The whole process can take between 30 min to 5h, depending on how many teeth the veneers are being put. My process was about 2h long.
At this stage the veneers are being 'cemented' on your previously prepared teeth (they remove a bit of your tooth enamel). Usually you don't need anaesthesia for this procedure but since my natural teeth are so sensitive I requested it.
They can last for 10 years or even longer with optimal care!
But the most important thing is to choose your dentist carefully. Choose a professional who has been doing it for a long time. I am beyond happy with mine!
My dentist is: Dr. Ivan Ćatović
Kisses!
PetraG
























Comments